Toggle navigation
Home
About Us
Services
Treatments
General Dentistry
Cosmetic Dentistry
Orthodontics Garden City MI
General Dentistry
Cosmetic Dentistry
Insurance
Blogs
Contact
Request an Appointment
(734) 522-6340
7110 Venoy Road, Garden City, MI 48135
Book an Appoinment
Review Us
Review Us
About Insurance
Home
Uncategorized
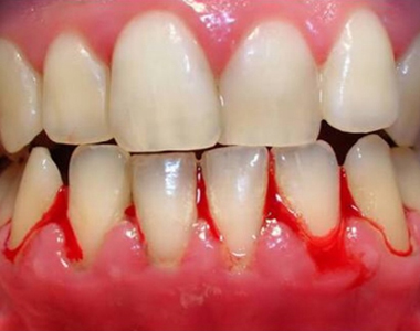
Five Preventive measures to stop Bleeding Gums
Five Preventive measures to stop Bleeding Gums
Five Preventive measures to stop Bleeding Gums
Five Preventive measures to stop Bleeding Gums